症例紹介
~Before After~

  • ダイレクトボンディング

  • 詳細はこちら

  • 詳細はこちら

  • 詳細はこちら

ダイレクトボンディング

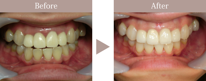
前歯のダイレクトボンディング

イメージ

主訴

可能であれば、神経をとらずに前歯をきれいにして欲しい。なるべく自分の歯を残したい。

治療内容

右上1番・左上1番のダイレクトボンディング

治療期間

3週間(カウンセリング含め)

費用

77,000円(税込)

リスク・副作用

・経年により変色や着色が生じる場合があります。
・強い衝撃や咬合力により、充填物が欠けたり脱落する可能性があります。
・治療後に一時的なしみ(知覚過敏)が生じることがありますが、多くの場合は徐々に落ち着きます。
・補修や再充填が必要になることがあります。
・歯を削る量は最小限ですが、健全な歯質をわずかに削合する場合があります。

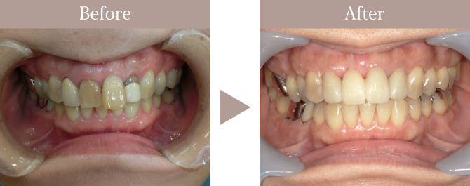
ブリッジ

ジルコニアブリッジ・ジルコニアクラウン

イメージ

治療内容

右上1 歯根破折のため抜歯。右上2~左上1のブリッジ
右上1抜髄。左上2クラウンやり変え
右上2~左上1のブリッジ+左上2クラウンset
計4本分の補綴を装着。

治療期間

2025年2月~2026年4月

費用

フルジルコニアBr+フルジルコニアCr
1本 87,000円×4=348,000円
再診療代 500円×5回分=2,000円

リスク・副作用

ブリッジ
支台歯を大きく削る必要があり、歯への負担が生じます。支台歯にかかる咬合力の増加により、将来的に歯根破折や歯周病の進行リスクがあります。また、ブリッジ下の清掃が不十分な場合、虫歯や歯周病のリスクが高まります。

クラウン
対合歯の摩耗が生じる場合があります。

インレー・クラウン

comingsoon

部分矯正

部分矯正・オールセラミック・ホワイトニング

イメージ

治療内容

部分矯正
左上1.2再根管治療+オフィスホワイトニング
左上2~右上2 Cr set(オールセラミック 4本補綴)

治療期間

2019年4月~2021年3月

費用

部分矯正 351,000円
オールセラミック4本 100,000円×4=400,000円
オフィスホワイトニング 47,300円
リテーナー代・処置料・抜歯代など 86,600円
※上記、料金改定前の価格になります

リスク・副作用

部分矯正
歯の移動に伴う痛みや違和感、歯根吸収、歯肉退縮が起こる場合があります。保定が不十分な場合、後戻りのリスクがあります。

再根管治療
治療後に痛みや腫れが生じる場合があります。歯根の状態によっては治癒が得られず、抜歯が必要になる可能性があります。

オフィスホワイトニング
施術中や施術後に一時的な知覚過敏が生じることがあります。効果には個人差があり、色の後戻りが起こる場合があります。

補綴(クラウン)
強い衝撃により欠けや破折のリスクがあります。

お母さんとお子さんの歯科治療

  • 子どもを歯医者嫌いにさせないために
  • 子どもの歯科通いQ&A
  • 小児矯正について

歯科治療にお悩みの方へ

  • 現在の治療に不満のある方へ
  • 治療中断のデメリット
  • 治療計画の重要性
  • 矯正相談講座
  • 歯が痛い
  • 子どもの歯が気になる
  • 虫歯・歯周病になりたくない
  • 歯がグラグラする
  • 歯の色が気になる
  • 抜けた歯を補いたい
  • 歯並びについて

pagetop